Nha Khoa Zen
Nha Khoa Zen
02435596886
https://nhakhoazen.com/
Trám răng
Thứ 2-Thứ 6: 17h00-20h00; T7, CN 8h00 - 12h00/14h00 - 18h00
Hotline:
0243 559 6886
Đặt lịch hẹn
Trang chủ
Giới thiệu
Dịch vụ
Đội ngũ
Tin tức
Liên hệ
Đóng
Trang chủ
Giới thiệu
Dịch vụ
Niềng răng
Răng sứ thẩm mỹ
Mặt dán sứ
Điều trị tủy răng
Trám răng
Trồng răng tháo lắp
Nhổ răng khôn
Điều trị nha chu
Tẩy trắng răng
Trồng răng Implant
Nha khoa trẻ em
Chăm sóc định kì và dự phòng
Đội ngũ
Tin tức
Liên hệ
Trang chủ
Giới thiệu
Dịch vụ
Niềng răng
Răng sứ thẩm mỹ
Mặt dán sứ
Điều trị tủy răng
Trám răng
Trồng răng tháo lắp
Nhổ răng khôn
Điều trị nha chu
Tẩy trắng răng
Trồng răng Implant
Nha khoa trẻ em
Chăm sóc định kì và dự phòng
Đội ngũ
Tin tức
Liên hệ
Trang chủ
Dịch vụ
Trám răng
Trám răng
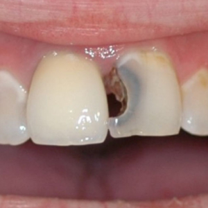
Nguyên nhân bị mẻ răng hàm là gì? Cách phục hồi đúng cách?
Nứt răng, mẻ răng – Có nguy hiểm không và cách phục hồi
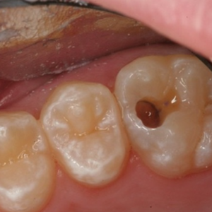
Khi Nào Cần Trám Răng Và Quy Trình Trám Răng
Hotline
Messenger
Zalo
Chỉ đường
0243 559 6886
0243 556 6886