Nứt răng, mẻ răng – Có nguy hiểm không và cách phục hồi
1. Nứt, mẻ răng là gì?
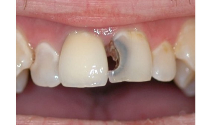
Nứt, mẻ răng là tình trạng răng bị tổn thương do tác động ngoại lực, nghiến răng hoặc ăn nhai đồ cứng. Tình trạng này không chỉ ảnh hưởng thẩm mỹ mà còn gây đau nhức, ê buốt.

2. Nguyên nhân nứt, mẻ răng
-
Tai nạn, chấn thương.
-
Nhai thức ăn cứng (xương, đá, hạt).
-
Tật nghiến răng.
-
Răng yếu do sâu răng, mòn men.
3. Nguy hiểm của nứt, mẻ răng
-
Dễ gây ê buốt, đau nhức khi ăn uống.
-
Vi khuẩn dễ xâm nhập gây viêm tủy, áp xe.
-
Ảnh hưởng đến thẩm mỹ và sự tự tin.

4. Cách phục hồi răng nứt, mẻ
-
Trám răng thẩm mỹ nếu mẻ nhỏ.
-
Dán sứ Veneer nếu mẻ ở mặt ngoài răng.
-
Bọc răng sứ nếu mẻ lớn, mất nhiều mô răng.
-
Điều trị tủy + bọc sứ nếu tổn thương đến tủy.
5. Kết luận
Nứt, mẻ răng cần điều trị sớm để tránh biến chứng và phục hồi thẩm mỹ. 👉 Hãy đến nha khoa Zen để được bác sĩ tư vấn giải pháp phù hợp nhất.