Nha Khoa Zen
Nha Khoa Zen
02435596886
https://nhakhoazen.com/
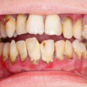
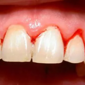
Điều trị nha chu
Thứ 2-Thứ 6: 17h00-20h00; T7, CN 8h00 - 12h00/14h00 - 18h00
Hotline:
0243 559 6886
Đặt lịch hẹn
Trang chủ
Giới thiệu
Dịch vụ
Đội ngũ
Tin tức
Liên hệ
Đóng
Trang chủ
Giới thiệu
Dịch vụ
Niềng răng
Răng sứ thẩm mỹ
Mặt dán sứ
Điều trị tủy răng
Trám răng
Trồng răng tháo lắp
Nhổ răng khôn
Điều trị nha chu
Tẩy trắng răng
Trồng răng Implant
Nha khoa trẻ em
Chăm sóc định kì và dự phòng
Đội ngũ
Tin tức
Liên hệ
Trang chủ
Giới thiệu
Dịch vụ
Niềng răng
Răng sứ thẩm mỹ
Mặt dán sứ
Điều trị tủy răng
Trám răng
Trồng răng tháo lắp
Nhổ răng khôn
Điều trị nha chu
Tẩy trắng răng
Trồng răng Implant
Nha khoa trẻ em
Chăm sóc định kì và dự phòng
Đội ngũ
Tin tức
Liên hệ
Trang chủ
Dịch vụ
Điều trị nha chu
Điều trị nha chu
Viêm lợi, viêm nha chu: Nguyên nhân, dấu hiệu và cách phòng ngừa
Viêm lợi trùm răng khôn: Nguyên nhân, triệu chứng và cách xử lý
Viêm nha chu là gì? Nguyên nhân, dấu hiệu, chẩn đoán và điều trị
Hotline
Messenger
Zalo
Chỉ đường
0243 559 6886
0243 556 6886