Viêm nha chu là gì? Nguyên nhân, dấu hiệu, chẩn đoán và điều trị
Thói quen chăm sóc răng miệng thường xuyên đóng vai trò vô cùng quan trọng đối với sức khỏe của cả nướu và răng của bạn. Viêm nướu nếu không được điều trị kịp thời sẽ tiến triển thành viêm nha chu và có thể gây ra tổn thương cho xương hàm. Trong bài viết dưới đây, hãy cùng tìm hiểu dấu hiệu, nguyên nhân và cách trị viêm nha chu hiệu quả.
Bệnh nha chu là gì?
Viêm nha chu hay bệnh nha chu (Periodontitis) là bệnh lý răng miệng xuất hiện tình trạng viêm nhiễm các mô nướu bao quanh răng. Khi mô nướu bị viêm, vi khuẩn sẽ xâm nhập hình thành các túi nha bên dưới và có thể gây ra tụt nướu, chân răng lộ ra ngoài. Khi tình trạng nhiễm trùng lan rộng và trở nên nghiêm trọng hơn, mô nướu và xương sẽ bị tổn thương. Răng trở nên lung lay và nếu không được điều trị kịp thời, có thể bạn sẽ mất răng.
Viêm nướu là tình trạng nướu bị viêm nhiễm và là tiền thân của bệnh nha chu. Viêm nướu tương đối dễ điều trị và nếu kiểm soát kịp thời, bạn có thể tránh được nguy cơ mắc bệnh nha chu nghiêm trọng.
Theo nghiên cứu dịch tễ học của Viện Răng Hàm Mặt Hà Nội, có tới 60% dân số trong độ tuổi từ 35 – 45 mắc bệnh viêm nha chu. Bệnh nha chu là bệnh răng miệng phổ biến ở người trung niên, người lớn tuổi và là một trong những nguyên nhân chính gây ra tình trạng mất răng ở người già.
Nguyên nhân gây viêm nha chu
Viêm lợi tuổi dậy thì
Đầu tiên, viêm nha chu có thể bắt nguồn từ viêm lợi tuổi dậy thì. Tình trạng viêm nướu không được điều trị và can thiệp kịp thời sẽ gây ảnh hưởng xấu đến sức khỏe răng miệng. Không chỉ dẫn đến bệnh nha chu mà còn có thể tiến triển thành những biến chứng nặng hơn.
Vệ sinh răng miệng không tốt
Với những người có thói quen vệ sinh răng miệng không tốt, bệnh nha chu sẽ bắt đầu từ những mảng bám hình thành quanh chân răng. Các mảng bám này tích tụ lâu ngày sẽ tạo điều kiện thuận lợi cho vi khuẩn phát triển và gây viêm nhiễm.
Các nguyên nhân viêm nha chu khác
Ngoài ra, bệnh nha chu còn có thể bắt nguồn từ những nguyên nhân khác như:
- Chân răng yếu ở người lớn tuổi
- Hút thuốc lá, lạm dụng chất gây nghiện
- Thay đổi nội tiết tố do đang trong quá trình mang thai hoặc mãn kinh
- Chế độ dinh dưỡng thiếu chất, không khoa học
- Yếu tố di truyền
- Sử dụng các loại thuốc kháng sinh, thuốc điều trị khiến cơ thể mất nước hoặc gây khô miệng
- Bệnh nhân mắc các bệnh suy giảm hệ miễn dịch như bạch cầu, ung thư, HIV/AIDS
- Các bệnh lý y khoa khác như tiểu đường, viêm khớp, béo phì…
Bệnh nha chu có nguy hiểm không? Triệu chứng và biến chứng
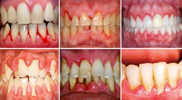
Bệnh nha chu đôi khi tiến triển mà không có các triệu chứng đáng chú ý, nhưng bạn có thể nhận thấy một hoặc một vài triệu chứng sau:
- Nướu răng sưng hoặc tấy đỏ
- Chảy máu chân răng khi bạn chải răng hoặc nhai thức ăn cứng
- Nướu trở nên nhạy cảm
- Mô nướu bị tụt
- Có mủ ở đường viền nướu
- Hôi miệng hoặc đắng miệng
- Răng bị thưa do lung lay.
Bạn nên chia sẻ với nha sĩ nếu gặp bất kỳ triệu chứng nào trong số những triệu chứng trên. Tại phòng khám nha khoa, bác sĩ sẽ kiểm tra độ sâu của túi nha chu giữa nướu và răng. Túi nha chu sâu là một triệu chứng ban đầu của bệnh nha chu đang có tiến triển xấu.
Bệnh nha chu cần được điều trị kịp thời, nếu không bệnh sẽ có thể tiến triển thành những biến chứng như:
- Sức khỏe răng miệng bị ảnh hưởng: hơi thở có mùi, viêm nhiễm có thể phát triển thành áp xe
- Răng trở nên nhạy cảm hơn, xuất hiện những cơn đau nhức kéo dài
- Tụt lợi, răng bị lung lay do không còn phần nướu bao bọc, trường hợp nặng hơn bệnh nhân có thể bị mất răng
Các giai đoạn của bệnh viêm nha chu
Viêm nha chu xuất hiện và tiến triển theo 4 giai đoạn:
- Giai đoạn 1: Vôi răng hình thành do các mảng bám lâu ngày khiến vi khuẩn tích tụ ở cổ răng, kẽ răng gây viêm nướu
- Giai đoạn 2: Viêm nướu gây sưng phù, chảy máu lợi, có giảm giác nhức
- Giai đoạn 3: Viêm nướu trở nặng thành viêm nha chu, hình thành những ổ viêm nhiễm có mủ
- Giai đoạn 4: Viêm nha chu nặng, phá hủy xương răng, gây tụt lợi. Khi đó răng không còn được nướu bao bọc, dễ bị lung lay và người bệnh có nguy cơ rụng răng
Viêm nha chu có chữa được không? Phương pháp điều trị hiệu quả
Nếu viêm nướu được phát hiện ở giai đoạn đầu, việc điều trị khá đơn giản. Tuy nhiên, khi bệnh lý này tiến triển thành bệnh nha chu, việc điều trị nha chu trở nên phức tạp hơn và có thể liên quan đến các phẫu thuật.
Điều trị khẩn cấp bệnh nha chu
Bác sĩ thường chỉ định điều trị khẩn cấp bằng thuốc kháng sinh và thuốc chống viêm. Tuy nhiên, đây chỉ là phương pháp tạm thời và bệnh có thể chuyển sang mãn tính và tái phát cấp tính theo chu kỳ.
Điều trị không phẫu thuật
Tùy vào tình trạng bệnh nha chu, nha sĩ sẽ điều trị không phẫu thuật như sau:
- Bôi thuốc chống viêm và sát khuẩn lên vùng nướu bị viêm, sưng.
- Vệ sinh chân răng và lấy vôi răng: Đây là cách vệ sinh sâu giúp loại bỏ mảng bám và vôi răng dưới đường viền nướu. Thủ thuật này có thể được thực hiện sau khi bệnh nhân được gây tê cục bộ
- Kiểm tra các miếng trám răng, chỉnh sửa hoặc thay thế miếng trám. Phục hình những răng đã trám không đúng kỹ thuật hoặc tạm thời
- Khắc phục tình trạng răng lung lay
- Nhổ răng đối với những răng không thể giữ được.
Điều trị phẫu thuật nha chu
Điều trị phẫu thuật chỉ áp dụng khi đã áp dụng các biện pháp điều trị thông thường nhưng bệnh không có dấu hiệu đáp ứng. Một số phương pháp điều trị phẫu thuật bệnh nha chu (thực hiện tuyến chuyên khoa).
Điều trị duy trì
Sau khi áp dụng các phương pháp điều trị tích cực và bệnh ổn định, người bệnh cần được kiểm tra, theo dõi, thăm khám định kỳ và áp dụng điều trị duy trì nhằm mục đích kiểm soát, ngăn ngừa bệnh tái phát và tiến triển.
Bệnh nha chu của bạn càng trở nên nghiêm trọng, việc điều trị có khả năng càng khó năng phải sử dụng đến các thủ thuật cần đến dao kéo. Để tránh phải thực hiện phẫu thuật, hãy thực hiện các biện pháp phòng ngừa.
Cách chữa viêm nha chu răng tại nhà
Để ngăn ngừa tình trạng viêm nha chu chuyển biến nghiêm trọng, bạn có thể tham khảo một số mẹo chữa viêm nha chu tại nhà sau đây:
- Súc miệng với nước gừng
- Bôi hỗn hợp nước cốt chanh và muối lên vùng chân răng có dấu hiệu viêm nha chu
- Vệ sinh răng miệng đúng cách, nên sử dụng bàn chải lông mềm, chỉ nha khoa để loại bỏ mảng bám sạch sẽ
- Đánh răng với baking soda
- Súc miệng với hỗn hợp rượu ngâm cây lược vàng héo
Viêm nha chu uống thuốc gì nhanh khỏi?
Dưới đây là một số loại thuốc có khả năng hỗ trợ điều trị bệnh viêm nha chu:
- Thuốc giảm đau thông thường (paracetamol…) dùng để làm giảm triệu chứng đau do viêm nha chu gây ra
- Thuốc kháng sinh (beta-lactam, macrolide…) cùng để diệt vi khuẩn trú ngụ ở răng miệng
- Thuốc kháng viêm non-steroid (ibuprofen, axit mefenamic, diclofenac, meloxicam…) làm giảm triệu chứng viêm sưng, đỏ, đau.
Lưu ý khi sử dụng thuốc:
- Không sử dụng thuốc giảm đau aspirin, thuốc kháng viêm non-steroid và thuốc corticosteroid cho người có tiền sử về bệnh viêm loét dạ dày
- Việc sử dụng các loại thuốc trên phải được chỉ định điều trị của bác sĩ có chuyên môn để tránh tác dụng phụ nguy hiểm.
Cách ngăn ngừa bệnh nha chu
- Đánh răng và dùng chỉ nha khoa để loại bỏ mảng bám và các mảnh thức ăn khỏi miệng. Đảm bảo chải răng trong 2 phút và làm sạch tất cả các bề mặt răng. Đồng thời mát xa cho nướu để làm tăng lưu lượng máu đến mô nướu
- Khám răng định kỳ 6 tháng/lần là điều quan trọng để ngăn ngừa bệnh nha chu. Trong mỗi lần khám răng, nha sĩ sẽ đánh giá tình trạng nướu và các mô khác của bạn. Việc đo các túi nha chu xung quanh răng sẽ cho phép nha sĩ phát hiện các dấu hiệu cảnh báo sớm của bệnh nha chu
- Chăm sóc nướu răng và việc quan trọng đối với sức khỏe lâu dài của răng miệng. Trên thực tế, người trưởng thành bị mất răng chủ yếu là do bệnh nha chu. Nếu bạn theo dõi chặt chẽ sức khỏe răng miệng của mình và thực hiện các biện pháp vệ sinh răng miệng thường xuyên, bạn sẽ ít có nguy cơ mắc phải căn bệnh khó chịu này
- Thực hiện chế độ ăn uống khoa học, đầy đủ chất dinh dưỡng để bổ sung vitamin C, K và tăng cường sức đề kháng của cơ thể.
Viêm nha chu là căn bệnh có thể phòng ngừa được nếu bạn xây dựng một lối sống lành mạnh và duy trì thói quen chăm sóc răng miệng tốt. Nếu nhận thấy dấu hiệu bất thường về răng miệng, hãy đến Nha Khoa Zen để được thăm khám và điều trị kịp thời.




