Viêm lợi, viêm nha chu: Nguyên nhân, dấu hiệu và cách phòng ngừa
Nha chu liên quan trực tiếp đến mô nâng đỡ quanh chân răng bao gồm bệnh của lợi và các bệnh lý phá hủy mô nâng đỡ bên dưới lợi (xương ổ răng, dây chằng nha chu...). Nha chu là nguyên nhân quan trọng gây mất răng
Bệnh thường diễn biến qua 2 giao đoạn: viêm lợi và viêm nha chu
Dấu hiệu nhận biết viêm lợi – nha chu
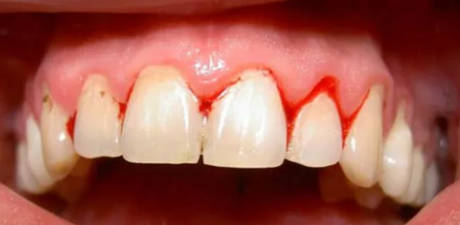
Dấu hiệu khi lợi bị viêm (giai đoạn đầu)

-
Lợi dễ chảy máu khi đánh răng hoặc ăn nhai.
-
Lợi sưng đỏ, dễ kích ứng.
-
Dễ chảy máu chân răng khi ăn.
-
Hơi thở có mùi hôi khó chịu.
-
Ở mức độ nặng, có thể xuất hiện mủ ở lợi khi ấn vào.
👉 Viêm lợi giai đoạn đầu thường không gây đau rõ rệt, khiến nhiều người chủ quan. Tuy nhiên, nếu không điều trị sớm, bệnh có thể tiến triển thành viêm nha chu.
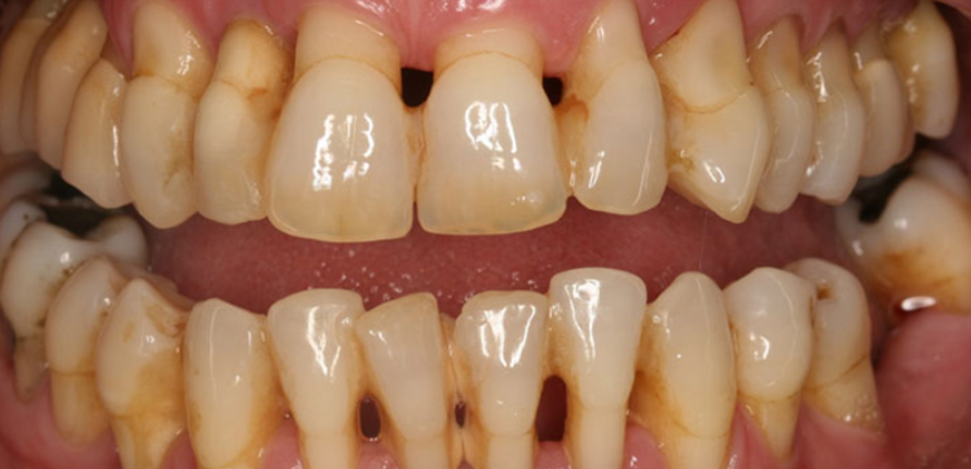
Dấu hiệu khi viêm nha chu tiến triển

-
Chảy máu lợi khi chải răng.
-
Lợi đỏ, sưng, mềm và dễ kích ứng.
-
Xuất hiện túi nha chu (lợi tách khỏi chân răng).
-
Có mủ ở lợi hoặc kẽ răng.
-
Răng lung lay, cảm giác không chắc chắn khi nhai.
👉 Nếu thấy các triệu chứng trên, bạn cần đến Nha Khoa Zen để được thăm khám và điều trị kịp thời.
Nguyên nhân chính gây viêm nha chu
Nguyên nhân chủ yếu là sự phát triển của vi khuẩn trong mảng bám và cao răng.
-
Mảng bám tích tụ lâu ngày hình thành cao răng.
-
Vi khuẩn trong mảng bám tiết độc tố gây viêm lợi.
-
Viêm lan rộng xuống mô nha chu → phá hủy xương ổ răng → răng lung lay, dễ mất răng.
Các yếu tố nguy cơ làm tăng khả năng mắc bệnh nha chu
-
Vệ sinh răng miệng kém, chải răng không đúng cách.
-
Không lấy cao răng định kỳ.
-
Hút thuốc lá, sử dụng rượu bia.
-
Thay đổi nội tiết tố (phụ nữ mang thai, tuổi dậy thì).
-
Các bệnh lý toàn thân: tiểu đường, tim mạch, HIV/AIDS.
👉 Những yếu tố trên không chỉ gây bệnh nha chu mà còn làm bệnh tiến triển nặng nhanh hơn.
Kết luận
Viêm lợi và viêm nha chu là bệnh răng miệng nguy hiểm nhưng hoàn toàn có thể phòng ngừa bằng cách:
-
Đánh răng đúng cách 2 – 3 lần/ngày.
-
Sử dụng chỉ nha khoa hoặc máy tăm nước.
-
Lấy cao răng định kỳ 3 – 6 tháng/lần.
-
Thăm khám nha khoa thường xuyên để phát hiện sớm bệnh lý.
👉 Để bảo vệ sức khỏe răng miệng, bạn nên đến Nha khoa Zen để được bác sĩ kiểm tra và tư vấn phương pháp điều trị phù hợp.